Стартира кампанията „Седмица на отворени врати“, която има за цел да повиши обществената информираност по отношение на заболяването туберкулоза, да се предостави възможност на всеки за достъп до здравни услуги, както и да се популяризира здравословния начин на живот. Това съобщават от пресцентъра на Министерството на здравеопазването (МЗ).
Чрез съвместни дейности между регионалните здравни инспекции и здравни медиатори на територията на цялата страна ще се популяризира превенцията, профилактиката и ранната диагностика на заболяването сред различни групи в риск.
По време на „Седмицата на отворени врати“ на всеки желаещ се предлага скрининг за риска от туберкулоза чрез анкета и консултации. На съмнителните за туберкулоза лица се извършват безплатни прегледи и допълнителни медицински изследвания в специализираните лечебни заведения.
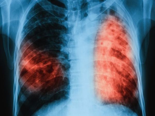
Туберкулоза е лечимо и предотвратимо заболяване, стига да бъде открито навреме и да бъде проведено съвременно лечение с необходимата продължителност, напомнят от МЗ. Ранното откриване на туберкулозата и започване на своевременно лечение в дългосрочен план води до намаляване на случаите. Въпреки значителните успехи, постигнати в борбата с туберкулозата в Европейския регион на СЗО, тя продължава да представлява заплаха за общественото здраве.
В България диагностиката, лечението и профилактиката на туберкулозата са безплатни за всички, които се нуждаят, независимо от техния здравноосигурителен статус.
Инициативата се осъществява по Националната програма за превенция и контрол на туберкулозата в Република България през периода 2021-2025 г. към Министерство на здравеопазването.
Датите и местата на организираните консултации можете да намерите тук.













