Кардиохирурзите от УМБАЛ „Проф. д-р Александър Чирков“ отстраниха огромни туморни образувания от сърцето и черния дроб на 60-годишен пациент, съобщават от лечебното заведение.
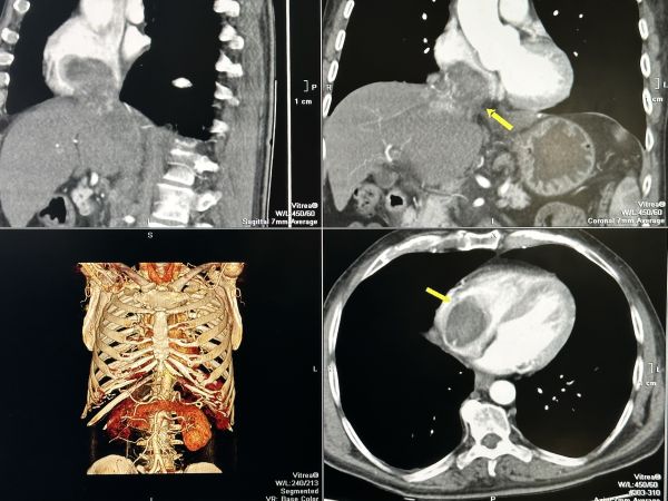
Туморът с размери 7 на 9 см. е ангажирал и изпълнил почти изцяло кухината на дясното предсърдие на сърцето и е застрашавал да запуши белодробните артерии и белия дроб.
След постъпването на пациента в лечебното заведение е направен скенер, от който се установяват злокачествените образувания в кухините на сърцето и наличието на две огромни туморни огнища в черния дроб.
Туморът се разпространява и в коремната област, като обхваща и запушва прехода на долна празна вена, преминаваща през черния дроб. Размерът на туморното образувание в този участък е с дължина 17 см и широчина 3 см.
Екип на Клиниката по кардиохирургия на УМБАЛ „Проф. д-р Александър Чирков“ под ръководството на проф. Димитър Петков премахва напълно туморите от сърцето и от цялата долна празна вена, намираща се в чернодробния участък.
Пациентът е стабилизиран, в добро общо състояние и вече е изписан от лечебното заведение. Очакват се резултатите от хистологичния анализ, от които ще се установи какво да бъде последващото лечение. Близките на пациента споделят, че никога преди той не е постъпвал в болница.
За кардиохирурзите от УМБАЛ „Проф. д-р Александър Чирков“ подобни операции не са рядкост, споделят от болницата. Преди два месеца лекарите отстраниха 10 см. тумор от сърцето на 40-годишен пациент. Тези образувания могат да бъдат доброкачествени, злокачествени, вследствие на инфекции и вродени състояния.
Средно годишно в УМБАЛ „ Проф. д-р Александър Чирков“ постъпват около 10-12 пациенти с подобна диагноза.














