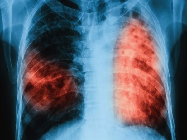
На 24 март отбелязваме Световния ден за борба с туберкулозата – заболяване, което продължава да бъде заплаха за общественото здраве, въпреки напредъка в медицината, припомнят от Министерството на здравеопазването.
Туберкулозата е инфекциозно заболяване, което се предава по въздушно-капков път и може да засегне всеки. Разпространението ѝ е пряко свързано с имунизационния обхват, ранното откриване и навременното започване на лечение.
Въпреки че често се възприема като заболяване от миналото, туберкулозата съществува и днес. Важно е да знаем, че тя е предотвратима и лечима, когато бъде установена навреме.
Ранната диагноза и последователното лечение са от решаващо значение – както за здравето на пациента, така и за ограничаване на разпространението на инфекцията.
В България лечението на туберкулозата се поема от Министерството на здравеопазването. То е безплатно за всички нуждаещи се, независимо от техния здравноосигурителен статус, и се осъществява в лечебни заведения в 28-те области на страната.
Информираността е първата стъпка към превенцията. Пазете себе си и хората около вас, напомнят от ведомството.
По случай Световния ден за борба с туберкулозата редица болници в страната организират кампании за безплатни прегледи.














БЦЖ не предпазва от туберкулоза възрастните, така че ако кашляте повече от 2 седмици, отидете на лекар...