В периода 24 - 28 март 2025 г. в Националната референтна лаборатория по туберкулоза към Националния център по заразни и паразитни болести (НЦЗПБ) ще се извършва скрининг на риска за туберкулоза чрез анкета и безплатни изследвания за туберкулоза. Това съобщават от Центъра.
Пациентите с положителни резултати ще бъдат насочвани за прегледи в специализирано лечебно заведение на територията на София-град, уточняват от там.
Изследването отнема до 15 минути и представлява вземане на кръвна проба. Всички желаещи могат да се включат в скрининга в столицата на бул. „Н. Столетов“ 44А, партер, стая №6. На посочените дати изследванията ще се провеждат от 9 до 12 ч.
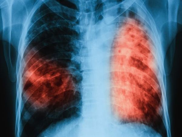
Туберкулозата е най-смъртоносната инфекциозна болест в света, която засяга най-често белите дробове. Тя е лечима и предотвратима болест при ранна диагностика и навременно лечение.
Не се колебай, изследвай се, призовават от НЦЗПБ.













