4 440 100 евро е общата сума, която държавата възнамерява да отдели за борба с туберкулозата през следващите пет години. Това става ясно от публикувания на сайта на Министерството на здравеопазването проект на Национална програма за превенция на туберкулоза в България 2026-2030.
Важността на програмата и особено на включените в нея мерки за превенция нараства, предвид задълбочаващия се проблем с антибиотичната резистентност у нас.
Ежегодно държавата планира да харчи по 888 020 евро в изпълнение на дейности от шест приоритетни области, заложени в Програмата: ранна диагностика на туберкулоза, скрининг сред рискови групи, съвместни дейности и поведения при съпътстващи заболявания, провеждане на информационни кампании, лечение на туберкулоза и подкрепящи мерки за придържане към лечение.
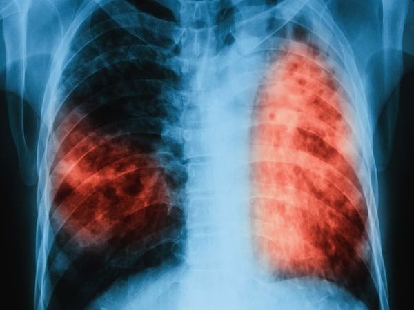
В България след 1998 г. се наблюдава трайна тенденция на намаляване на заболяемостта от туберкулоза – от 49,9 заболели на 100 000 население през 1998 г. на 13,7 заболели на 100 000 през 2024 г., сочи статистиката. Броят на регистрираните случаи на туберкулоза е далеч по-голям при възрастните, отколкото при децата, показват още данните. В детска възраст за периода 2015-2024 г. относителният дял на заболелите от туберкулоза варира между 3 и 10,2% от общия брой случаи в страната. За този период заболяемостта в детска възраст отчита трикратен спад: от 14,1 случая на 100 000 през 2015 г. на 4,1 случая на 100 000 население през 2024 г.
По отношение на излекуваните от туберкулоза лица, наблюдаваната тенденция в страната за периода 2015-2024 г. е низходяща, отчитат здравните власти. Според тях част от проблема е в недостатъчното прилагане на т. нар. „подкрепящи мерки“, като придружаване на лицето до лечебното заведение и други съвместни дейности на регионалните здравни инспекции, неправителствени организации, здравни медиатори и др. за осигуряване на придържане към лечението по време на продължителната фаза. Вероятна причина за отчитания спад са и свързаните с епидемичното разпространение на COVID-19 последици, довели до късно диагностициране на тежки форми на туберкулоза, смятат от МЗ.
През 2024 г. относителният дял на откритите и регистрирани случаи с мултирезистентна туберкулоза се запазва същия както и през 2023 г. – 2,9%, показват още данните на Здравното ведомство.
След 2016 г. в детска възраст не са регистрирани случаи на мултирезистентна туберкулоза, отчитат от там.
По отношение на относителен дял на успешно лекуваните случаи на мултирезистентна туберкулоза, от 2022 г. в страната се отчита нарастване на излекуваните или на завършилите лечение лица с резистентна туберкулоза. От регистрираните през 2023 г. 11 лица, през 2024 г. 8 са успешно завършили лечение.
По отношение на брой лабораторно потвърдени пациенти с мултирезистентна туберкулоза, включени на лечение с противотуберкулозни лекарствени препарати от втори ред, обхванатите лица са съответно през 2021 г. – 20 лица, 2022 г. – 18 лица, 2023 г. – 16 лица и 2024 г. – 14 лица. От ведомството обаче отбелязват, че не всички лица с резистентна туберкулоза са включени на лечение с лекарствени продукти от втори ред.
Цел на програмата е намаляването на заболеваемостта и смъртността от туберкулоза у нас. За постигането й МЗ е определило мерки в шестте приоритетни области, чиято идея е да постигнат съответствие със Стратегията на СЗО за край на туберкулозата до 2030 г.
С проекта на Националната програма можете да се запознаете тук, с плана за действие към него – тук, а с финансовия план – тук.















Туберкулозата в света намалява, но ограниченото финансиране вещае сериозни трудности
13.11.2025 16:30:48Япония въвежда предварителен скрининг за туберкулоза за някои пристигащи чужденци
05.09.2025 09:42:29Задължително ще провеждат тест за лекарствена чувствителност при положителен резултат за туберкулоза
29.07.2025 14:59:48